Sức khỏe

Bác sĩ bật mí: Đây chính xác là những điều niềng răng sẽ làm thay đổi trên khuôn mặt bạn!

Thứ năm, ngày 07/03/2024 19:00 GMT+7
Chia sẻ In bài viết

Niềng răng sẽ thay đổi những gì trên khuôn mặt? Trước và sau khi niềng răng thì những chi tiết trên khuôn mặt như mũi, cằm, môi, má… sẽ thay đổi như thế nào? Hãy cùng lắng nghe bác sĩ bật mí nhé!

Người xưa đã có câu "Cái răng cái tóc là góc con người", dân gian ta từ lâu đã xem răng, tóc là một trong những tiêu chuẩn để đánh giá vẻ đẹp của con người. Lý do đơn giản vì đây chính là những ấn tượng đầu tiên khi tiếp xúc với người đối diện.

Theo đó, người có hàm răng đều đẹp và trắng sáng sẽ góp phần tạo nên khuôn mặt tươi tắn, rạng rỡ, từ đó tạo sự tự tin trong giao tiếp, cười hoặc nói chuyện.

Với những người không may sở hữu hàm răng hô, móm, vẩu, răng khấp khểnh, răng khểnh chưa đẹp thì lựa chọn niềng răng là biện pháp rất hiệu quả để cải thiện thẩm mĩ hàm mặt.

Bác sĩ bật mí: Đây chính xác là những điều niềng răng sẽ làm thay đổi trên khuôn mặt bạn!- Ảnh 1.

BS Nguyễn Thanh Tuấn, Chuyên khoa Răng Hàm Mặt. (Ảnh: BSCC)

Niềng răng có làm thay đổi khuôn mặt?

Bên cạnh các câu hỏi về chi phí niềng răng, niềng răng mất bao lâu thì vấn đề niềng răng có làm thay đổi khuôn mặt không cũng nhận được sự quan tâm khá nhiều.

Theo BS Nguyễn Thanh Tuấn (BS Chuyên khoa Răng Hàm Mặt, làm việc ở Hà Nội) nhận định: "Trên thực tế, hình thức niềng răng chỉnh nha thường mang lại một số thay đổi rõ rệt cho từng bộ phận cụ thể trên khuôn mặt. Đặc biệt, hầu như các khác biệt này đều có tính chất tích cực, điển hình như răng trở nên đều hơn, khớp cắn cân đối, khuôn mặt trở nên hài hòa hơn...".

BS Tuấn cho biết, một số bệnh nhân chỉnh nha của anh đã có những thay đổi tích cực dễ nhận thấy nhất trên khuôn mặt sau khi niềng là hàm răng đều hơn, đặc biệt một số bệnh nhân bị hô, sau niềng răng, môi trên sẽ thu vào trong nên nhìn mũi có vẻ cao và thon gọn hơn, khuôn mặt đẹp hài hòa hơn.

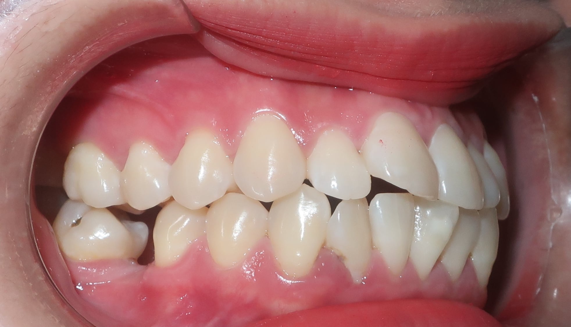
Bác sĩ bật mí: Đây chính xác là những điều niềng răng sẽ làm thay đổi trên khuôn mặt bạn!- Ảnh 2.
Bác sĩ bật mí: Đây chính xác là những điều niềng răng sẽ làm thay đổi trên khuôn mặt bạn!- Ảnh 3.

Sự khác biệt trước và sau niềng răng. (Ảnh: BSCC)

Tuy nhiên, BS Tuấn cho rằng, người có mũi cao thực chất là do sự phát triển của xương sụn và độ dày của cánh mũi, hoàn toàn không liên quan đến khuôn xương răng hoặc khuôn xương hàm. Do đó, niềng răng chỉ có tác dụng làm cho răng đẹp hơn, khuôn mặt trở nên hài hòa hơn nên vô tình tạo cảm giác chiếc mũi cao hơn.

Đối với các trường hợp niềng răng có can thiệp kỹ thuật nâng khớp hay kéo lùi hàm dưới ra sau thì sau niềng, BS Tuấn cho biết, phần cằm của những case (trường hợp) này sẽ có dáng Vline khá rõ rệt.

Cũng theo BS Nguyễn Thanh Tuấn, răng và lợi cũng là các bộ phận có sự khác biệt trên khuôn mặt trước và sau khi niềng răng. Răng trở nên đều đặn, dễ làm sạch hơn. Ngoài ra, sau niềng, mô lợi hồng hào và săn chắc, vì thế khách hàng niềng răng xong sẽ ít gặp tình trạng dễ viêm nhiễm như trước.

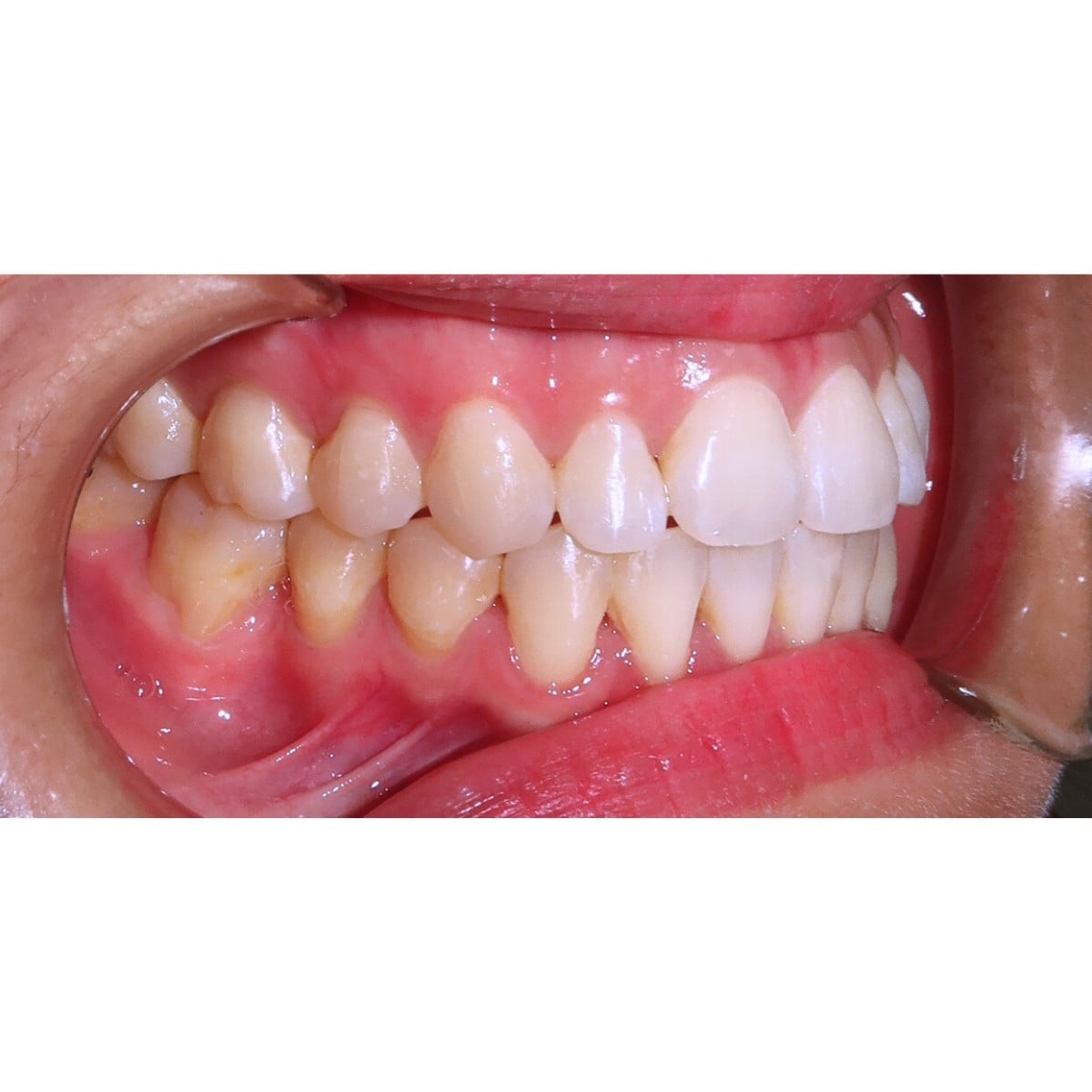
Bác sĩ bật mí: Đây chính xác là những điều niềng răng sẽ làm thay đổi trên khuôn mặt bạn!- Ảnh 4.

Sự thay đổi khuôn mặt sau niềng răng. (Ảnh: BSCC)

"Một số trường hợp răng vẩu, môi thường bị vểnh lên và thiếu đi nhiều đường nét. Sau quá trình niềng răng hô, hàm trên và hàm dưới được kéo lùi ra sau, khiến cho môi không còn trạng thái hếch lên nữa. Theo đó, các đường nét của môi cùng dần hiện ra, thẩm mĩ hơn khá nhiều", BS Tuấn chia sẻ.

Nếu so sánh trước và sau khi niềng răng chúng ta sẽ thấy những thay đổi tích cực trên khuôn mặt. Tuy nhiên, mức độ thay đổi sẽ phụ thuộc nhiều vào tình trạng răng và tay nghề bác sĩ thực hiện.

Niềng răng thay đổi thế nào đối với người lớn và trẻ em?

Theo BS Nguyễn Thanh Tuấn: "Đối với trẻ em hoặc ở lứa tuổi thanh thiếu niên, đây là đối tượng rất thích hợp để niềng răng vì thời điểm này, xương hàm chưa phát triển nên có thể dễ dàng uốn nắn, điều chỉnh. Theo đó, sự thay đổi khuôn mặt trước và sau khi niềng cũng theo hướng tích cực, cân đối hơn".

Bác sĩ bật mí: Đây chính xác là những điều niềng răng sẽ làm thay đổi trên khuôn mặt bạn!- Ảnh 5.

Góc nghiêng đẹp hơn rất nhiều nhờ niềng răng. (Ảnh: BSCC)

Còn đối với người trưởng thành, sau khi niềng răng xong thì khuôn mặt cũng sẽ có sự thay đổi nhất định, tuy nhiên mức độ thay đổi không quá lớn bởi lúc này, cấu trúc răng và xương hàm đã phát triển hoàn toàn.

Niềng răng có sợ hóp má, hóp thái dương?

Đây chắc chắn là vấn đề mà các bạn nghe thấy rất phổ biến trong các diễn đàn, hội nhóm tư vấn về răng miệng.

BS Tuấn lý giải: "Do niềng răng thời gian đầu sẽ khiến các bạn gặp đôi chút khó khăn trong việc ăn nhai vì chưa quen, dẫn đến bị hóp má và thái dương. Đây là một vấn đề khiến rất nhiều các bạn nữ lo lắng. Hiểu đơn giản là do thời gian đầu việc ăn uống chưa quen nên khó khăn, khiến cân nặng tụt giảm, má sẽ bị bóp gầy lại, mặc dù răng và xương hàm không thay đổi.

Bác sĩ bật mí: Đây chính xác là những điều niềng răng sẽ làm thay đổi trên khuôn mặt bạn!- Ảnh 6.

Hàm răng đều, đẹp rõ nét sau niềng răng. (Ảnh: BSCC)

Từ đó một số bạn sẽ cảm giác như răng, xương ổ nhô ra quá mức. Điều này đặc biệt dễ nhận ra với các bạn có khuôn mặt trái xoan hay vốn gầy trước khi niềng. Tuy nhiên các bạn cũng không cần quá lo lắng! Vì đây chỉ là tình trạng tạm thời! Bạn chỉ cần làm theo đúng chỉ dẫn của bác sĩ cũng như cố gắng đảm bảo việc ăn uống đầy đủ thì nó sẽ nhanh chóng biến mất khi tháo niềng".

Chuyên gia cho biết thêm, quá trình thăm khám và điều trị hàng trăm bệnh nhân, có khá nhiều khách hàng băn khoăn liệu niềng răng có "chữa" được mặt lệch hay không?

Theo BS Tuấn, những trường hợp mặt lệch do răng hoàn toàn có thể điều trị bằng niềng răng. Niềng răng sẽ tác dụng lực từ từ, dần dần để đưa răng về đúng vị trí theo phác đồ điều trị. Kết thúc quá trình niềng răng, gương mặt của bạn cũng sẽ trở nên cân đối, hài hòa hơn.

Bác sĩ bật mí: Đây chính xác là những điều niềng răng sẽ làm thay đổi trên khuôn mặt bạn!- Ảnh 7.

Góc mặt ngoài thay đổi sau niềng răng. (Ảnh: BSCC)

Tuy nhiên, không phải tất cả trường hợp mặt lệch đều có thể điều trị bằng niềng răng. Chính vì thế, bạn nên đi thăm khám và nghe ý kiến tư vấn từ các bác sĩ tại các nha khoa uy tín để có quyết định đúng đắn nhất.

Với những hình ảnh trước và sau khi niềng răng trên cùng với những tư vấn cụ thể từ bác sĩ chuyên ngành Răng Hàm Mặt, chúng ta không thể phủ nhận rằng, niềng răng khiến khuôn mặt thay đổi rõ rệt. Tuy nhiên, chúng ta cũng cần biết rằng, quá trình niềng răng thay đổi theo chiều hướng đẹp hơn hay xấu hơn sẽ còn tùy thuộc vào tình trạng răng, tay nghề bác sĩ cùng với thói quen chăm sóc răng miệng của bạn đấy.

Hy vọng với những chia sẻ trên đã giúp bạn giải tỏa được thắc mắc niềng răng sẽ thay đổi khuôn mặt như thế nào nhé!

Chia sẻ

Tuấn Minh

Ý kiến của bạn